Ultraschall Oberbauch

Ultraschall Oberbauch

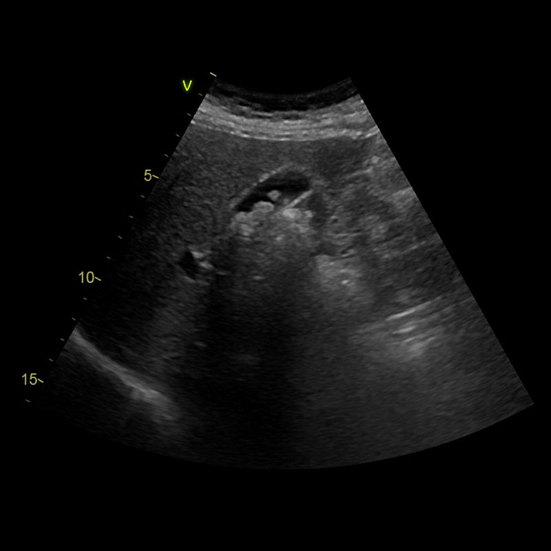
Im Oberbauchultraschall untersuchen wir die Organe Leber, Gallenblase mit Gallengängen (Abb.), Bauchspeicheldrüse, Nieren sowie die Aorta. Die Untersuchung führen wir bei Bauchbeschwerden oder auffälligen Laborwerten durch (z.B. erhöhten Leberwerten).

Ultraschall ist die optimale Untersuchung für die Beurteilung der sogenannten parenchymatösen (geweblichen) und der flüssigkeitsgefüllten Bauchorgane. Daher können wir die Bauchspeicheldrüse, Leber und Nieren beurteilen sowie die Blutgefäße und das Gallengangssystem inkl. der Gallenblase. Im Ultraschall diagnostizierbare Erkrankungen sind z.B. die Fettleber, Gallen- oder Nierensteine oder auch das Aortenaneurysma. Auch in der Früherkennung von Tumoren der Leber und Nieren spielt der Ultraschall eine große Rolle, ebenso wie in der Nachsorge bei zahlreichen Krebserkrankungen zum Ausschluss von Lebermetastasen.
Die Beurteilung der Aorta zum Ausschluss eines Aortenaneurysmas (seltene krankhafte Aufweitung der Bauchschlagader mit dem Risiko des Einreißens, einer tödlichen Komplikation) ist eine auch von der GKV anerkannte Vorsorgeuntersuchung